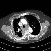
Early Mesothelioma Ct - Mesothelioma Imaging Scans Using X Rays To Detect Cancer - These are the ajcc early stages of malignant mesothelioma cancer:

Early Mesothelioma Ct - Mesothelioma Imaging Scans Using X Rays To Detect Cancer - These are the ajcc early stages of malignant mesothelioma cancer:. Business details location of this business 265 church st fl 11 1. mesothelioma, a rare form of cancer that develops in the protective lining of many internal organs, is caused by exposure to asbestos, such as inhaling or ingesting asbestos in the workplace. Malignant pleural mesothelioma (mpm) is a neoplasm of mesodermal origin and is associated with exposure to asbestos.mpm has a poor prognosis, but detection in early stages can significantly increase patient survival, as distant metastasis occurs at considerably later stages. mesothelioma can accurately be described as a deadly and aggressive form of cancer. Therefore, developments in technology that allow for early detection are crucial for patient survival.

Devotes nearly 100 percent of its resources to mesothelioma cases and has been doing so for over 30 years. With offices in new york city and new haven connecticut, early, lucarelli, sweeney & Until the 1970s, when it was discovered that asbestos increased the risk for lung disease, it was widely used in many industries in the united states. The mesothelioma is in the pleural lining of the chest wall on only one side of the chest. Imaging is usually performed once symptoms become evident and prior to performing an invasive biopsy, yendamuri said.

Combined Fdg Pet Ct In Response Evaluation Of Malignant Pleural Mesothelioma Lung Cancer
Combined Fdg Pet Ct In Response Evaluation Of Malignant Pleural Mesothelioma Lung Cancer from els-jbs-prod-cdn.jbs.elsevierhealth.com
mesothelioma is a very serious cancer that begins in the thin membrane that lines the chest and abdomen. This can make it difficult to get an accurate and timely diagnosis. Aim to determine whether early cf structural lung disease persists and progresses over 1 year. While the exact cause of mesothelioma is unknown, the primary risk factor is exposure to asbestos fibers. Business details location of this business 265 church st fl 11 1. It may not be affecting the pleura lining in the diaphragm, the mediastinum, or the pleura that covers the lung. Asbestos is a material found naturally in the environment, and is used in many products such as shingles, insulation, flooring, brakes, and more. Additionally, if mesothelioma is detected at early stages, the chances for a possible cure are high.

Asbestosis is often detected through ct scans.

These are the ajcc early stages of malignant mesothelioma cancer: Survival is higher in people whose disease is recognized early. Aside from angiographic examinations, thoracic ct scans are routinely performed with a variety of protocols, with many institutions using early phases for scanning the chest and delayed phases for the abdomen. Over ct lung screening of smokers, canadian researchers are developing a unique ct screening program designed to focus on patients who have been exposed to asbestos as a tool for early detection of malignant mesothelioma. Pleural mesothelioma asbestos exposure pleural plaque. Devotes nearly 100 percent of its resources to mesothelioma cases and has been doing so for over 30 years. mesothelioma is typically a preventable disease that is caused through inhaling or ingesting microscopic asbestos fibers. Symptoms of mesothelioma may not appear for 20 to 50 years after the exposure. In heavy smokers, early detection of lung cancer with chest ct scan leads to a 20% mortality reduction. One of the newest developments in technology is a breath test. Your doctor may also refer to the cancer stage of mesothelioma as early or advanced. mesothelioma is a malignant tumor of the pleura that is mainly caused by chronic exposure to asbestos fibers and more than 40 years of exposure are needed to develop the disease. Large‐scale screening of construction workers for early diagnosis of asbestos‐related mesothelioma by n‐erc elisa.

Aim to determine whether early cf structural lung disease persists and progresses over 1 year. Strauss law firm offers services specific to victims of asbestos exposure, and those with mesothelioma. A ct scan is a radiographic technique. The two most common types of mesothelioma are pleural mesothelioma and peritoneal mesothelioma. A problem swallowing, which is known as dysphagia, is not always associated with … continued

Early Detection Of Lung Cancer With Low Dose Ct Scans Herzinstitut Berlin Herzpraxis Berlin
Early Detection Of Lung Cancer With Low Dose Ct Scans Herzinstitut Berlin Herzpraxis Berlin from www.herzinstitut-herzpraxis.de
Magnetic resonance imaging (mri) scan. Pleural mesothelioma asbestos exposure pleural plaque. One of the newest developments in technology is a breath test. The mesothelioma is in the pleural lining of the chest wall on only one side of the chest. This stage describes patients whose tumors haven't started growing and spreading beyond their origin. A ct scan is a radiographic technique. It is the least advanced stage. Asbestos exposure history, mri and/or ct scan.

mesothelioma can accurately be described as a deadly and aggressive form of cancer.

A problem swallowing, which is known as dysphagia, is not always associated with … continued The case of a mesothelioma patient in spain could suggest that having a hard time swallowing could be a rare, early sign of mesothelioma. Magnetic resonance imaging (mri) scan. Ability to examine the time course of mark ers and their prognostic ability to detect mm prior to detection via chest ct scan. With standard treatment, average mesothelioma survival is about a year. Imaging is usually performed once symptoms become evident and prior to performing an invasive biopsy, yendamuri said. However, mesothelioma is often diagnosed once it has advanced, as often the early symptoms can go unnoticed. early info about mesothelioma, asbestosis, lung cancer and how to treatment, therapy, and prognosis, diagnosis, mesothelioma chemotherapy. Business details location of this business 265 church st fl 11 1. A ct scan by itself, however, cannot provide unequivocal mesothelioma diagnosis, although a ct guided biopsy—which uses a ct scan to guide the biopsy needle into the tumor—can. At the international centre for thoracic surgery (icts), we have put together a health screening plan to screen for early lung cancer. Breath test developed for early mesothelioma detection august 6, 2019. Additionally, it is not known if early discovery of the disease affects prognosis 7 .

About early, lucarelli, sweeney & Symptoms of mesothelioma may not appear for 20 to 50 years after the exposure. Plathow c, staab a, schmaehl a, et al. The lancet early peritoneal mesothelioma: Ability to examine the time course of mark ers and their prognostic ability to detect mm prior to detection via chest ct scan.

Imaging Scans For Mesothelioma Scans To Detect Cancer
Imaging Scans For Mesothelioma Scans To Detect Cancer from www.mesothelioma.com
Malignant pleural mesothelioma (mpm) is a neoplasm of mesodermal origin and is associated with exposure to asbestos.mpm has a poor prognosis, but detection in early stages can significantly increase patient survival, as distant metastasis occurs at considerably later stages. Increasingly, fdg pet/ct is used for diagnosis and management of malignant pleural mesothelioma. An mri scan creates detailed images of the body's soft tissues using radio waves and magnets. While the exact cause of mesothelioma is unknown, the primary risk factor is exposure to asbestos fibers. The mesothelioma is in the pleural lining of the chest wall on only one side of the chest. Asbestosis is often detected through ct scans. Understanding the symptoms mesothelioma is a progressive disease in that it continues to worsen without intervention. Devotes nearly 100 percent of its resources to mesothelioma cases and has been doing so for over 30 years.

Materials and methods patients (n = 13;

A ct scan by itself, however, cannot provide unequivocal mesothelioma diagnosis, although a ct guided biopsy—which uses a ct scan to guide the biopsy needle into the tumor—can. This stage describes patients whose tumors haven't started growing and spreading beyond their origin. Magnetic resonance imaging (mri) scan. Positron emission tomography (pet) scan. It may not be affecting the pleura lining in the diaphragm, the mediastinum, or the pleura that covers the lung. early detection of mesothelioma or any other cancer is the crucial factor for increasing life expectancy. Your source for mesothelioma, news, including treatments for malignant pleural mesothelioma, clinical trials for peritoneal mesothelioma, asbestos related lung cancer, asbestosis (asbestoses), and asbestos information. early info about mesothelioma, asbestosis, lung cancer and how to treatment, therapy, and prognosis, diagnosis, mesothelioma chemotherapy. The fibers become lodged in the lining of the lungs, abdomen or heart and can lay dormant for decades before symptoms start to show. About early, lucarelli, sweeney & It is the least advanced stage. Each stage details how far the tumor has spread from where it first appeared in the pleura, the protective lining of the lungs. Is a national law firm recognized for its representation of over 1800 hardworking men and women who have been exposed to asbestos and diagnosed with mesothelioma.

Post a Comment

0 Comments